Дата публикации: 14 октября 2024 г.
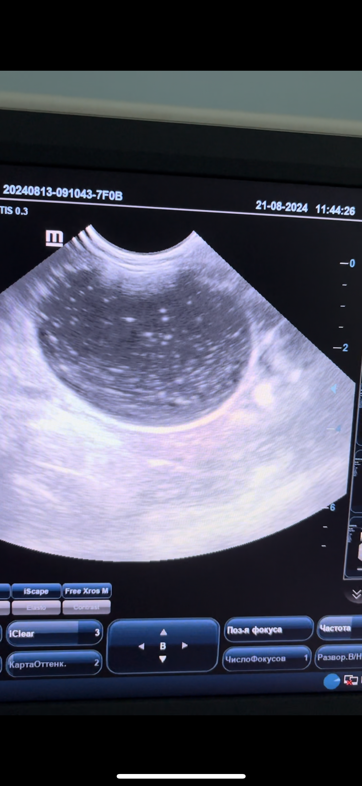
В конце сентября текущего года в участковую ветеринарную лечебницу по адресу: г. Саратов, ул. Соколовая, д. 314/79 обратился владелец с котом по кличке «Том», возраст 2,5 года. У животного наблюдались такие жалобы как частое мочеиспускание, болевой синдром, отказ от еды. Ветеринарными врачами было проведено УЗИ, которое показало огромное количество мелкодисперсной взвеси и поставлен диагноз - мочекаменная болезнь, уроцистит и общий анализ мочи, который выявил наличие трипельфосфатов в моче. Домашнему питомцу назначено лечение: диета, специальные корма, контроль мочи и УЗИ через 12дней.
.png)
.png)